Não úng thuỷ là căn bệnh cực kì nguy hiểm, tỷ lệ tử vong cao và có thể xảy ra ở mọi độ tuổi từ trẻ em đến người già. Ở bài viết này chúng tôi sẽ chia sẻ về trường hợp thai nhi bị não úng thủy. Vậy dấu hiệu thai nhi bị não úng thủy như nào? có cách gì để phòng tránh và cách điều trị như thế nào?
Thai nhi bị não úng thủy là gì?
Não úng thuỷ là tình trạng dịch lỏng trong não thai nhi bị dư thừa (dịch não tuỷ). Chính sự dư thừa của dịch não tuỷ này khiến đầu trẻ ngày càng to và dẫn tới tổn thương mô não. Nếu phát hiện và điều trị không kịp thời thì trẻ bị não úng thuỷ sẽ gặp nhiều biến chứng nặng mà khó có thể phục hồi.

Nguyên nhân thường gặp của não úng thủy
- Mặc dù rất hiếm, não úng thủy có thể được di truyền hoặc có thể liên quan với rối loạn phát triển, bao gồm tật nứt đốt sống (khuyết tật bẩm sinh của cột sống) và thoát vị não.
- Một số nguyên nhân khác bao gồm xuất huyết trong não, u não, chấn thương đầu, biến chứng của sinh non như xuất huyết, hoặc các bệnh như viêm màng não hoặc nhiễm trùng khác.
- Trong một số trường hợp, dòng chảy bình thường của dịch não tủy trong não bị tắc nghẽn, dẫn đến não úng thủy.

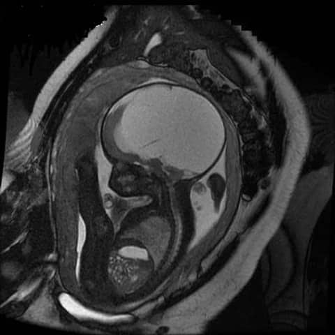
Dấu hiệu thai nhi bị não úng thủy
Bắt đầu vào tuần thứ 6 của thai kỳ, các cấu tạo bên trong não thất sẽ bắt đầu sản xuất ra dịch não tủy. Dịch não tủy sẽ đi qua các khoang, rồi di chuyển đến khoang dưới nhện và hấp thu vào tổ chức não. Chứng giãn não thất diễn ra khi dịch tủy não bị tắc nghẽn hoặc ứ đọng tạo nên giãn các não thất và não úng thủy với phần mô não ngày càng ít đi do não thất bị giãn rộng ra.
Não úng thủy có hai dạng: thông nhau và không thông nhau. Nguyên nhân bệnh được xếp vào 3 nhóm: bất thường nhiễm sắc thể, nhóm kèm các dị tật khác và nhóm đơn thuần.
Ở giai đoạn 3 tháng giữa thai kỳ, nếu trong quá trình siêu âm phát hiện não thất thai nhi bị giãn với đường kính là 10 – 15mm được gọi là giãn não thất, còn đường kính trên 15mm tức là thai nhi đã bị não úng thủy.
Lúc này, cần chẩn đoán và theo dõi của siêu âm rõ ràng. Nếu siêu âm phát hiện não thất có kích thước trên 15mm thì rất đáng lo ngại. Do đó, khi phát hiện cần kiểm tra và siêu âm kỹ đồng thời với tìm các tổn thương khác trên tim và não của thai nhi.
Chẩn đoán trong thai kỳ dựa vào AFP (một trong 3 chất được thử trong triple test) và siêu âm, chọc dò ối để phát hiện các bất thường về nhiễm sắc thể.

Biến chứng của bệnh não úng thuỷ ở thai nhi
Đầu tiên bệnh não úng thuỷ sẽ gây tổn thương trực tiếp tới hệ thần kinh trung tương của thai nhi, để lại những di chứng trầm trọng nếu không được điều trị kịp thời và đúng cách. Sau này, các di chứng thường gặp nhất là động kinh, chậm phát triển tâm thần, liệt, điếc, mù, viêm màng não mủ.

Bệnh não úng thuỷ có điều trị được không?
Nên khám thai và siêu âm đầy đủ trong giai đoạn thai kỳ giúp phát hiện sớm bệnh giãn não thất và não úng thủy giúp các bà mẹ có kế hoạch theo dõi và xử lý bệnh kịp thời.
Nếu được phát hiện sớm, thai nhi bị não úng thủy sẽ được điều trị thích hợp và mang lại kết quả tốt. Hầu hết các trường hợp đều cần tới sự giúp đỡ của các bác sĩ ngoại khoa, và kết quả phẫu thuật phụ thuộc rất nhiều vào thời điểm phát hiện bệnh, thời điểm phẫu thuật và các triệu chứng lâm sàng trước khi phẫu thuật.
Có rất nhiều trường hợp bị não úng thuỷ nhẹ đã may mắn được chữa lành, bé bị não úng thuỷ sau khi được điều trị vẫn có thể tới trường và sinh hoạt, học tập như các trẻ bình thường khác. Tuy nhiên, những trường hợp nặng vẫn chưa có loại thuốc nào trị khỏi não úng thuỷ hoàn toàn mà chỉ có tác dụng giúp hỗ trợ điều trị.
Cách ngăn ngừa não úng thủy?
– Não úng thủy là một trong những dị tật của ống thần kinh, do đó để phòng ngừa bệnh này trước khi có kế hoạch mang thai và trong 3 tháng đầu thai kỳ các mẹ nên uống bổ sung acid folic (còn gọi là vitamin B9) thuộc vitamin nhóm B, đóng vai trò giúp cho sự đóng ống thần kinh được hoàn chỉnh trong thời kỳ bào thai. Ngoài viên uống bổ sung, các mẹ cũng có thể bổ sung acid folic cho cơ thể bằng các loại rau xanh lá, ngũ cốc.
Những trường hợp mẹ bị đa ối, dư ối cũng có khả năng sinh ra những đứa trẻ bị bệnh não úng thủy. Do đó mẹ cần yêu cầu bác sĩ siêu âm kiểm tra não bé vào tháng thứ 7 hoặc thứ 8. Sau khi sinh, nhớ đưa bé đi siêu âm não ngay trong tháng đầu tiên nhé!
Tham khảo thêm:
Các bệnh lý về mắt thường gặp ở trẻ em và trẻ sơ sinh
Dấu hiệu cảnh báo viêm màng não ở trẻ em
Nhiễm trùng máu ở trẻ em có chữa được không?


